You are here: Home » Blog » Treatment Strategy for Pathological Femoral Neck Fractures in Children

Treatment Strategy for Pathological Femoral Neck Fractures in Children

Views: 0     Author: Site Editor     Publish Time: 2026-04-21      Origin: Site

1.Background

A unicameral bone cyst (UBC) is a benign bone lesion that primarily affects children and adolescents between the ages of 4 and 14. These lesions most commonly occur in the metaphysis of long bones, especially the proximal femur and proximal humerus. UBCs account for approximately 3% of primary bone lesions.

A UBC is characterized by a fluid-filled osteolytic cavity lined with a thin fibrous membrane. The lesion is strongly associated with skeletal growth and biomechanical stress during development.

Clinically, UBCs are often asymptomatic and are usually discovered only after complications occur. Approximately 85% of cases are diagnosed following pain that interferes with daily activities or after a pathological fracture develops. In pediatric patients, UBCs are responsible for nearly 40% of pathological fractures of the femoral neck.

Although these cysts may cause serious complications, many resolve spontaneously after skeletal maturity.

From a diagnostic perspective, imaging plays a crucial role. Standard radiographs typically reveal a well-defined central osteolytic lesion in the metaphysis of a long bone, without periosteal reaction or soft tissue involvement.

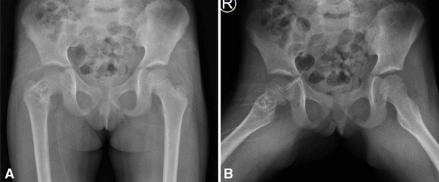
Pelvic AP view.png

A. Anteroposterior pelvic radiograph showing a multiloculated osteolytic lesion in the right femoral neck extending from the growth plate to the intertrochanteric line, associated with cortical disruption (stress fracture) and varus displacement.

B. Frog-leg lateral radiograph confirming the same findings.

Etiology and Surgical Importance

The exact cause of UBC remains unclear despite multiple proposed theories. Suggested mechanisms include:

  • Obstruction of intraosseous fluid drainage

  • Nitric oxide-mediated processes

  • Intramedullary changes caused by osteolysis

Despite these theories, the true pathophysiology remains under active investigation.

For lesions located in weight-bearing bones, especially the proximal femur, surgical treatment is essential to reduce fracture risk and maintain structural stability.

While asymptomatic lesions may be observed, surgery is often necessary when:

  • A fracture has already occurred

  • The cyst compromises mechanical integrity

  • Progressive deformity is present

Common surgical options include:

  • Curettage

  • Bone grafting

  • Internal fixation when necessary

These procedures aim to restore bone stability, prevent recurrence, and improve long-term functional outcomes.

This case report presents surgical experience from Riyadh, Saudi Arabia, in managing proximal femoral UBCs and highlights important technical considerations for orthopedic surgeons.

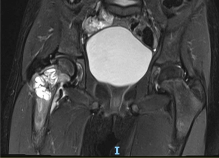
微信图片_2026-04-21_171356_618.png

Coronal MRI image demonstrating a 1.5 × 2.8 cm non-aggressive, lobulated expansile lesion in the right intertrochanteric region with a thick sclerotic rim and amorphous mineralized matrix. Periosteal reaction along the medial femoral neck suggests healing fracture changes.

Surgical Case Report

Patient Presentation

A 5-year-old girl presented to the emergency department with:

  • Right hip pain

  • Limping gait

  • Symptoms beginning 3 weeks after minor trauma to the right lower limb

Physical examination revealed pain in the right hip, especially during rotational movement.

Imaging showed:

  • A large osteolytic lesion in the right femoral neck extending into the trochanteric region

  • Stress fracture of the femoral neck

  • Varus displacement  

(See Figures 1 and 2)

Surgical Technique

A lateral proximal femoral approach was used.

Step 1: Exposure

Soft tissues were dissected layer by layer until the bone surface was exposed.

Step 2: Cortical Window Creation

A cortical window was made in the anterior cortex of the trochanteric region using a drill while preserving the lateral cortex for fixation support.

Step 3: Curettage and Biopsy

The lesion was thoroughly curetted, the distal medullary canal was opened, and tissue samples were sent for pathological examination.

Step 4: Internal Fixation

Three 2 mm Kirschner wires (K-wires) were inserted from the lateral cortex toward the femoral head, stopping approximately 5 mm below the subchondral bone.

The K-wires were then bent into a large arc to:

  • Prevent backing out

  • Resist varus collapse

A cerclage wire was added around the femur to improve construct stability.

Step 5: Bone Grafting

The cavity was filled with allograft bone material.

Step 6: Immobilization

After wound closure, a hip spica cast was applied for 6 weeks due to the patient’s young age.

In older and more cooperative children, cast immobilization may not be necessary.

At 3 months postoperatively, the cast was removed and follow-up imaging was performed.

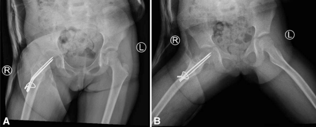
微信图片_2026-04-21_171948_353.png
微信图片_2026-04-21_171953_785.png

Follow-Up Results

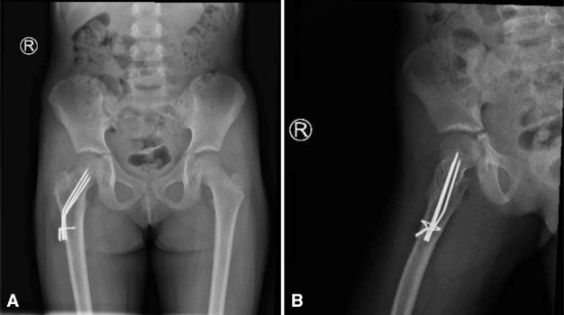
During follow-up, growth-related migration of the K-wires toward the distal femoral neck was observed, slightly prolonging healing time.

This actually demonstrated one advantage of using smooth K-wires instead of screws, as they accommodate skeletal growth and reduce physeal injury risk.

1-Year Follow-Up

Radiographs showed progressive healing and remodeling.

2.5-Year Follow-Up

Complete bone union was achieved, and hardware removal was performed.

1 Year After Hardware Removal

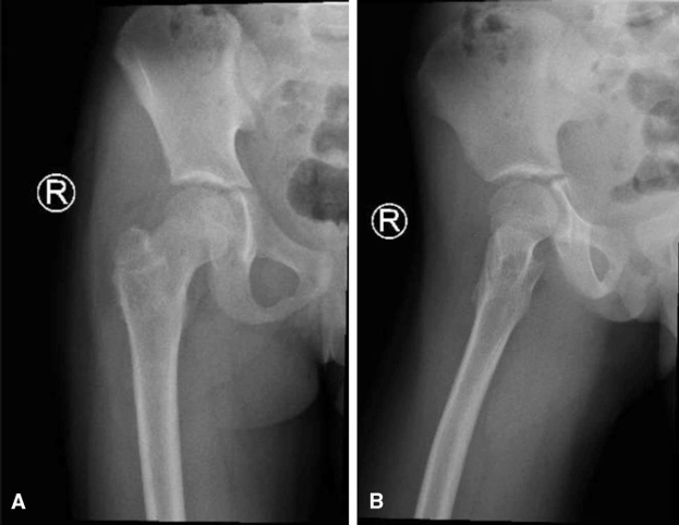
The femoral neck remodeled to a normal neck-shaft angle.

At final follow-up, the patient had:

  • No joint stiffness

  • Full range of motion

  • No pain

  • No limp

122.png
133.png

Why This Fixation Method Was Chosen

The authors selected this technique for several important reasons:

1. Excellent Angular Stability

The construct effectively prevented femoral neck varus collapse.

2. Growth Plate Protection

Smooth K-wires minimized damage to the proximal femoral physis.

3. Better Rotational Stability Than Elastic Nails

Compared with elastic intramedullary nails, this method offered superior anti-rotation control.

4. Ideal for Large Femoral Neck Cysts

For massive cysts involving most of the femoral neck, this was considered the most reliable fixation strategy.

5. Simple Single-Incision Procedure

The entire operation was completed through one surgical approach.

Conclusion

Pathological femoral neck fractures caused by unicameral bone cysts in children present a difficult orthopedic challenge. Successful treatment requires:

  • Stable fixation

  • Preservation of growth potential

  • Prevention of deformity

  • Restoration of long-term hip function

This case demonstrates that K-wire fixation combined with curettage and bone grafting can be a highly effective solution for young pediatric patients.

As experience grows, this technique may gain wider application in pediatric orthopedic trauma surgery.

Reference

Hashem A, AlShammari Z, Altuwaim A, Altwaijri N. Surgical Technique: Management of a Pathological Fracture in the Femoral Neck: Case Report and Literature Review. JAAOS Global Research and Reviews. 2025;9(11):e25.00119. DOI: 10.5435/JAAOSGlobal-D-25-00119.

Contact us
One Stop Solution Provider

Contact Toolmed and Make a Difference Together!

Quick Quote
Orthopedic Implants & Instruments Manufacturer and Exporter from China

Products

Links

Contact Us

   0086-13813553925
   No.23 Wangcai Road, Konggang Industrial Park, Luoxi Town, Xinbei District, 2131000, Changzhou City, Jiangsu Province, P.R. of China
© COPYRIGHT 2025 CHANGZHOU TOOLMED MEDICAL INSTRUMENT CO., LTD. ALL RIGHTS RESERVED.