You are here: Home » Blog » Failed ACDF Surgery Case: Anterior Approach Treatment for Cervical Fracture-Dislocation with Locked Facet Joints

Failed ACDF Surgery Case: Anterior Approach Treatment for Cervical Fracture-Dislocation with Locked Facet Joints

Views: 0     Author: Site Editor     Publish Time: 2026-04-03      Origin: Site

WARNING FROM A FAILED CERVICAL SPINE SURGERY CASE: WHY MAY A STANDALONE ANTERIOR APPROACH BE INSUFFICIENT?

The cervical spine is one of the most mobile yet most vulnerable regions of the human body. In traumatic events such as motor vehicle accidents or high-altitude falls, the cervical spine may sustain "facet joint dislocation/perched or locked facets" — a severe injury that can lead to spinal cord compression and even paralysis. Clinically, Anterior Cervical Discectomy and Fusion (ACDF) is commonly used to treat such injuries. However, a recent case study published in the Journal of Neurosurgery [1] reveals that under specific circumstances, a standalone anterior approach may fail, potentially exacerbating the patient's condition.

Case Review: Treatment Complications Following a Motor Vehicle Accident

A 70-year-old female sustained a high-speed motor vehicle accident, presenting with severe neck pain and right-hand numbness. Imaging revealed: bilateral facet dislocation/perched and locked facets at the C6-7 level (subluxation and interlocking of the facet joints between two lower cervical vertebrae); multiple ligamentous tears, minor vertebral fractures, and mild spinal cord edema.

Initial Surgery: Standalone Anterior Fixation

The surgeon chose an anterior approach (ACDF): discectomy of the damaged intervertebral disc, insertion of a synthetic bone graft, and stabilization with an anterior plate and screws. Postoperatively, the patient was discharged wearing a cervical collar. However, one week later, her condition deteriorated acutely — recurrent cervical dislocation, spinal cord compression, and worsening right-hand weakness.

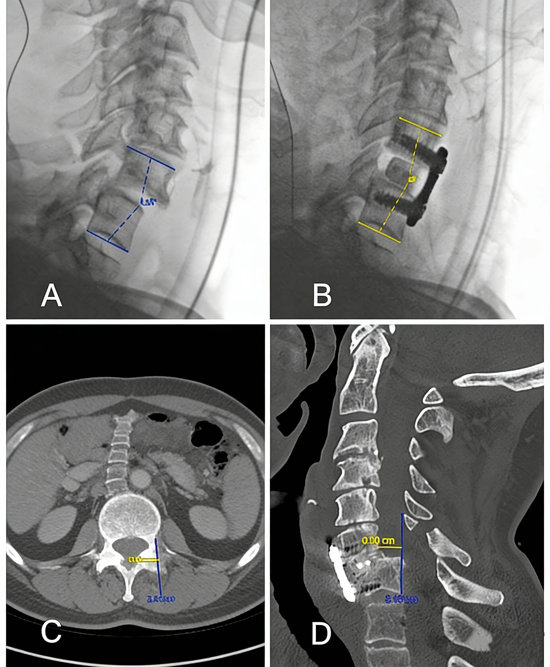
1_副本.jpg

Measurements of angle before (A) and after (B) the initial C6-7 ACDF surgery. Measurements of anterolisthesis on CT before surgical intervention (C) and after ACDF failure (D).

2_副本.jpg

Initial diagnostic CT and MRI. A: Right parasagittal view showing C6-7 jumped and locked facets. B: Mid-sagittal view revealing a C6 spinous process fracture and C6-7 anterolisthesis. C: Left parasagittal view showing the C6-7 facet cut plane. D: Mid-sagittal T2-weighted MRI. E: Mid-sagittal short tau inversion recovery (STIR) MRI. F: Axial T2-weighted image at C6-7.

3_副本.jpg

Pre- and post-anterior ACDF internal fixation imaging.

4_副本.jpg

CT and MRI following acute symptom recurrence after ACDF, showing failure of C6-7 ACDF and reduction of bilateral locked facets. A: Mid-sagittal CT showing C7 screw pullout, C6-7 dislocation, and a vertical fracture of the C7 vertebral body with displacement of the synthetic cage. B: Left parasagittal CT demonstrating locked facets. C: Right parasagittal CT also showing locked facets. D: Mid-sagittal T2-weighted MRI revealing abnormal spinal cord signal intensity at C7. E: Mid-sagittal STIR sequence showing signal through the C7 vertebral body. F: Axial view through the C6-7 disc space demonstrating severe stenosis and spinal cord compression.

Revision Surgery: Combined Anterior-Posterior Approach

During emergency revision surgery, the surgeon found loosening of the previously implanted plate and screws, along with fragmentation of the bone graft. Longer screws were reimplanted, and a posterior approach was added (multilevel fixation from the mid-cervical spine to the upper thoracic spine). The patient gradually recovered and ultimately resumed normal daily activities.

5_副本.jpg

Intraoperative imaging of combined anterior-posterior revision surgery. Anteroposterior (A) and lateral (B) views showing revision surgery with C6-7 ACDF and posterior instrumentation and fusion from C2 to T2. Post-revision anteroposterior (C) and lateral (D) views.

Why Did the Anterior Surgery Fail?

The research team, based on literature review, identified the following high-risk factors:

Osteoporosis and Smoking:

The patient had poor bone quality, predisposing to screw loosening; smoking impairs bone healing.

Severe Ligamentous Injury:

Complete disruption of the posterior ligamentous complex — anterior plating alone provided insufficient stability.

Facet Fractures:

When dislocation is accompanied by fractures, anterior fixation strength is compromised.

Advanced Age:

Elderly patients have diminished bone healing capacity, resulting in poorer postoperative stability.

Key Conclusion: In the presence of the above risk factors, the failure rate of standalone anterior surgery is significantly elevated. Combined anterior-posterior surgery (i.e., 360° fixation) is necessary to enhance stability.

Recommendations for Surgeons and Patients

Preoperative Comprehensive Assessment:

  • Use CT/MRI to accurately evaluate ligamentous injury and fracture patterns.

  • Standalone anterior surgery should be used with caution in elderly patients, smokers, and those with osteoporosis.

Close Postoperative Monitoring:

  • New-onset pain, limb numbness, or weakness should prompt suspicion of internal fixation failure.

Patient Self-Management:

  • Strictly wear a cervical collar and avoid neck motion.

  • Smoking cessation and calcium supplementation to promote bone healing.

Educational Note: What is Facet Joint Dislocation?

  • Facet joints: Paired "small hooks" on the posterior aspect of vertebrae that prevent excessive rotation or translation of the spine.

  • Mechanism of dislocation: During a crash, violent neck flexion or extension can cause the facets to "jump" or become "locked."

  • Warning signs: Severe neck pain, limb numbness, decreased muscle strength — requires immediate medical attention.

Conclusion

Success in cervical spine surgery depends not only on surgical technique but also on individualized treatment planning. For complex injuries, although a combined anterior-posterior approach is more time-consuming, it provides more reliable stabilization. This case serves as a reminder that medical progress demands reverence for every detail and comprehensive consideration of all patient-specific factors.

Contact us
One Stop Solution Provider

Contact Toolmed and Make a Difference Together!

Quick Quote
Orthopedic Implants & Instruments Manufacturer and Exporter from China

Products

Links

Contact Us

   0086-13813553925
   No.23 Wangcai Road, Konggang Industrial Park, Luoxi Town, Xinbei District, 2131000, Changzhou City, Jiangsu Province, P.R. of China
© COPYRIGHT 2025 CHANGZHOU TOOLMED MEDICAL INSTRUMENT CO., LTD. ALL RIGHTS RESERVED.