You are here: Home » Blog » Metacarpal Fracture Surgical Treatment Strategies: Evidence-Based Guide for Optimal Fixation

Metacarpal Fracture Surgical Treatment Strategies: Evidence-Based Guide for Optimal Fixation

Views: 0     Author: Site Editor     Publish Time: 2026-04-27      Origin: Site

Introduction

Metacarpal fractures are among the most common fractures of the hand and upper extremity. If not properly managed, they may result in significant functional impairment, reduced grip strength, stiffness, and long-term hand deformity.

Clinical examination and radiographic findings play a critical role in determining the most appropriate treatment plan. While many metacarpal fractures can be successfully managed with closed reduction and conservative treatment, certain fracture patterns and patient-specific factors require surgical fixation to achieve better outcomes.

Surgical options such as percutaneous Kirschner wire (K-wire) fixation, plate and screw fixation, lag screw fixation, and intramedullary fixation should be selected individually based on fracture type, displacement, stability, and patient demands. Personalized treatment combined with early rehabilitation often provides the best functional recovery.

Overview of Common Surgical Treatment Options for Metacarpal Fractures

Different fracture locations and patterns require different fixation strategies. Below is a summary of commonly recommended surgical approaches.

Treatment Method

Main Advantages

Main Disadvantages

Splint / Buddy Taping Fixation

Non-invasive, low cost

Poor stability, may require prolonged immobilization

Kirschner Wire (K-wire) Fixation

Minimally invasive, flexible fixation method

Limited stability, possible pin tract infection or loosening

Cerclage Wire Fixation

Small implant size, can be used as an adjunct fixation method

Insufficient stability, requires open surgery

Intramedullary Fixation

Minimally invasive, relatively good stability, allows early mobilization

May have weaker anti-rotation capability

Bone Block Interposition Fixation

High stability

Requires open surgery

Plate Fixation

Strong stability

Requires open surgery, may need secondary removal or tendon release, higher complication rate

External Fixator Fixation

Suitable for bone loss, soft tissue injury, infection, or comminuted fractures

Risk of pin tract infection, may cause over-distraction

Routine treatment decision

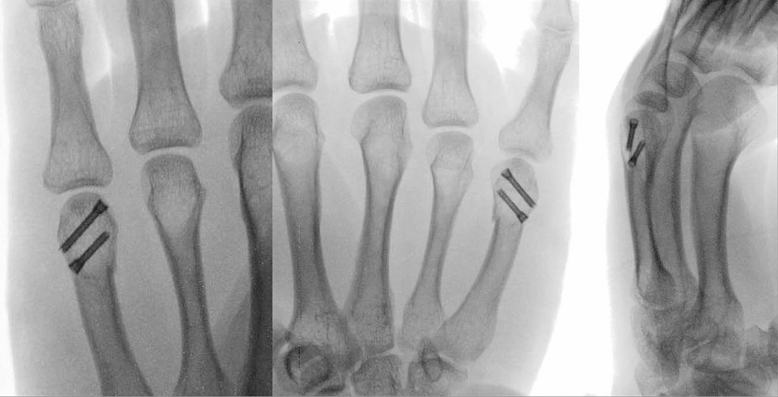
1. Percutaneous Screw Fixation for Metacarpal Head Fractures

微信图片_2026-04-27_153600_027.png
微信图片_2026-04-27_153538_627.png

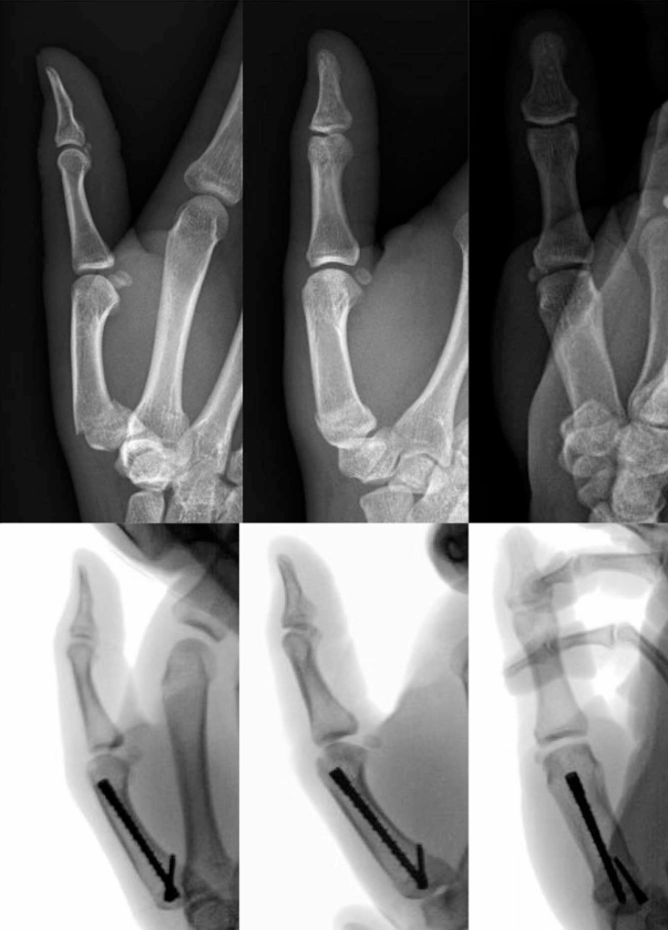
2. Intramedullary Screw Fixation for Metacarpal Head Fractures

Intramedullary Screw Fixation.png
Intramedullary Screw Fixation 2.png
Intramedullary Screw Fixation 3.png

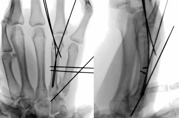
3. Percutaneous K-Wire Fixation for Metacarpal Neck Fractures

Percutaneous K-Wire Fixation (1).webp
Percutaneous K-Wire Fixation2 (1).webp

4. Percutaneous K-Wire Fixation for Adjacent Metacarpal Neck and Base Fractures

Percutaneous K-Wire Fixation (1).webp
Percutaneous K-Wire Fixation2 (1).webp

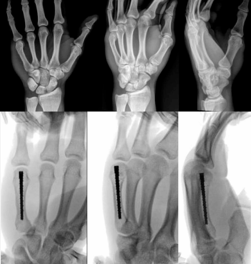
5. Intramedullary Screw Fixation for Metacarpal Neck Fractures

Intramedullary Screw Fixation.png

6. Intramedullary Screw Fixation for Multiple Spiral Metacarpal Shaft Fractures

Intramedullary Screw Fixation.png

7. Percutaneous Intramedullary Fixation for First Metacarpal Base Fractures

Percutaneous Intramedullary Fixation.png

How to Choose the Best Surgical Method

Treatment decisions should be based on:

Fracture Factors

  • Location (head, neck, shaft, base)

  • Displacement

  • Rotational deformity

  • Comminution

  • Number of fractures

Patient Factors

  • Age

  • Occupation

  • Dominant hand involvement

  • Athletic demands

  • Compliance with rehabilitation

Postoperative Rehabilitation Is Critical

Regardless of fixation method, early guided rehabilitation is essential to prevent:

  • Finger stiffness

  • Tendon adhesions

  • Loss of motion

  • Grip weakness

A stable fixation method often allows earlier active movement and faster recovery.

Conclusion

Although metacarpal fractures are common, they present in many different patterns and severities. Successful treatment requires individualized assessment and selecting the most suitable fixation technique for each patient.

Modern options such as K-wire fixation, plate fixation, and intramedullary screw systems allow surgeons to optimize alignment, restore hand mechanics, and accelerate rehabilitation.

For orthopedic surgeons and distributors seeking advanced hand fracture fixation systems, choosing reliable implant designs is key to achieving superior clinical outcomes.

Reference

Stash N, Kamal RN, Richard M, Shapiro LM. Metacarpal Fractures: An Evidence-Based Review to Guide Treatment. J Am Acad Orthop Surg. 2025 Dec 15;33(24):1361-1371. doi:10.5435/JAAOS-D-25-00323.

Contact us
One Stop Solution Provider

Contact Toolmed and Make a Difference Together!

Quick Quote
Orthopedic Implants & Instruments Manufacturer and Exporter from China

Products

Links

Contact Us

   0086-13813553925
   No.23 Wangcai Road, Konggang Industrial Park, Luoxi Town, Xinbei District, 2131000, Changzhou City, Jiangsu Province, P.R. of China
© COPYRIGHT 2025 CHANGZHOU TOOLMED MEDICAL INSTRUMENT CO., LTD. ALL RIGHTS RESERVED.